Network Insights Archive

On Focus

Sponsored Stories

Cosmetic Dentistry- Powerful Technology Can Give You Your Best Smile
Business

Cosmetic Dentistry – Powerful Technology Can Give You Your Best Smile

A beautiful smile can boost your confidence and enhance your overall appearance. With advancements in cosmetic dentistry, achieving your best smile is now more accessible than ever. Modern technology has revolutionized dental treatments, making them more effective, efficient, and comfortable. This article will explore the various cosmetic dentistry technologies that can transform your smile, their benefits, and how they contribute to better dental health and aesthetics. What is Cosmetic Dentistry? Cosmetic dentistry focuses on improving the appearance of your teeth, gums, and overall smile. It encompasses a range of procedures designed to address aesthetic concerns such as discoloration, misalignment, gaps, and damaged teeth. While the primary goal is to enhance the visual appeal of your smile, many cosmetic treatments also

Read More »
Top Questions About Early Orthodontic Evaluation
Business

Top Questions About Early Orthodontic Evaluation

Early orthodontic evaluation is crucial in ensuring your child’s dental health and proper development. By identifying potential issues early, orthodontists can implement treatments that guide jaw and teeth growth, leading to healthier outcomes. This article will address parents’ top questions about early orthodontic evaluation, providing essential information to help you understand its importance and benefits. Why is Early Orthodontic Evaluation Important? Early orthodontic evaluation allows for the timely detection of dental problems, which can be easier to treat while the child is still growing. Identifying issues early can prevent more severe complications later, leading to more effective and less invasive treatments. Optimal Timing for Evaluation The American Association of Orthodontists recommends that children have their first orthodontic evaluation by seven.

Read More »
Thumb Sucking: Break the Unhealthy Dental Habit
Dentist

Thumb Sucking: Break the Unhealthy Dental Habit

Thumb sucking is a common habit among infants and young children. While it is generally harmless in the early years, prolonged thumb sucking can lead to dental and developmental issues. Addressing this habit before it affects your child’s oral health and overall development is essential. In this article, we will explore the impact of thumb-sucking on dental health and provide effective strategies to help your child break the habit. Understanding Thumb Sucking Thumb sucking is a natural reflex for infants, providing comfort and security. Most children stop on their own between ages two and four. However, if the habit continues beyond this age, it can lead to various dental problems. Why Children Suck Their Thumbs Children suck their thumbs for

Read More »
Invisalign
Dentist

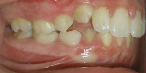
Crooked Teeth? How We Can Help You Invisalign

Having crooked teeth can affect your confidence and oral health. Traditional braces are no longer the only solution available. Invisalign offers a modern, discreet, and effective way to straighten your teeth and achieve a beautiful smile. In this article, we will explore how we can help you with Invisalign, the benefits of this treatment, and what to expect from the process. Understanding Invisalign Invisalign is a cutting-edge orthodontic treatment that uses clear, removable aligners to straighten teeth gradually. These aligners are custom-made for each patient using advanced 3D imaging technology. Invisalign offers a virtually invisible alternative to traditional metal braces, making it a popular choice for teens and adults. How Invisalign Works The Invisalign treatment involves a series of aligners

Read More »
Top 3 Reasons You Shouldn’t Fear Root Canal Therapy
Dentist

Top 3 Reasons You Shouldn’t Fear Root Canal Therapy

Root canal therapy is one of the most misunderstood dental procedures, often causing unnecessary fear and anxiety. However, modern advancements in dental technology and techniques have made root canal therapy a comfortable and highly effective treatment. This article will explore the top three reasons you shouldn’t fear root canal therapy and how it can benefit your dental health. Understanding Root Canal Therapy Root canal therapy, also known as endodontic treatment, is a procedure designed to save a tooth that is severely infected or damaged. The treatment involves removing the infected pulp from the inside of the tooth, cleaning and disinfecting the area, and then filling and sealing the tooth to prevent further infection. Reasons for Needing Root Canal Therapy Several

Read More »
Learn How Dental Implants Could Help Your Dental Health
Dentist

Learn How Dental Implants Could Help Your Dental Health

Dental implants are a revolutionary solution for individuals with missing teeth. They offer a permanent, durable, and aesthetically pleasing option that can significantly improve dental health and overall quality of life. This article will explore how dental implants can benefit your dental health, the procedure involved, and how to care for them effectively. Understanding Dental Implants Dental implants are artificial tooth roots made of biocompatible materials such as titanium. They are surgically inserted into the jawbone, providing a stable foundation for replacement teeth, including crowns, bridges, or dentures. Dental implants mimic the function and appearance of natural teeth, offering a long-term solution for tooth loss. Components of Dental Implants Dental implants consist of three main components: Benefits of Dental Implants

Read More »
Tongue Tie Treatment – Pediatric Dentistry Brooklyn
Dentist

Tongue Tie Treatment – Pediatric Dentistry Brooklyn

Tongue tie, or ankyloglossia, is a condition present at birth that restricts the tongue’s range of motion. This condition occurs when the band of tissue (lingual frenulum) that connects the bottom of the tongue to the floor of the mouth is too short, tight, or thick. Tongue tie can interfere with breastfeeding, speech development, and oral hygiene. Pediatric dentists in Brooklyn offer various treatment options to address this condition and improve the quality of life for affected children. Understanding Tongue Tie Tongue tie can vary in severity, from mild cases where the tongue’s movement is slightly restricted to severe cases where the tongue’s movement is significantly limited. It is crucial to identify and address tongue ties early to prevent potential

Read More »
Teeth Whitening – an Incredible Look That’s Effective and Safe
Dentist

Teeth Whitening – an Incredible Look That’s Effective and Safe

A bright, white smile can enhance your appearance and boost your confidence. Teeth whitening is a popular cosmetic dental procedure that can effectively remove stains and discoloration, resulting in a stunning smile. However, it is crucial to choose safe and effective methods to avoid damaging your teeth and gums. In this article, we will explore the benefits of teeth whitening, various whitening methods, and tips for safe and effective treatment. Benefits of Teeth Whitening Teeth whitening offers several benefits beyond just improving the appearance of your smile. Here are some of the key advantages: Improved Appearance Whitening your teeth can significantly enhance your overall appearance. A bright smile can make you look younger, healthier, and more attractive. It can also

Read More »
Types of Toothbrush Bristles To Know for Better Dental Hygiene
Dentist

Types of Toothbrush Bristles To Know for Better Dental Hygiene

Maintaining good dental hygiene is essential for overall health, and choosing the right toothbrush is a critical part of this process. One of the most important factors in selecting a toothbrush is the type of bristles it has. Understanding the various types of toothbrush bristles can help you make an informed decision and ensure your teeth and gums remain healthy. Why Toothbrush Bristle Type Matters Toothbrush bristles come in different types, each designed to address specific dental needs. The right bristle type can effectively remove plaque and prevent gum disease without causing damage to your teeth or gums. Let’s explore the main types of toothbrush bristles available today. Soft Bristles Soft bristles are the most commonly recommended type by dentists.

Read More »
Which Assets Do Not Come Under Probate?
Estate Planning

Which Assets Do Not Come Under Probate?

 Probate is the legal procedure that takes place just after the death of an individual. The process is where the validity of the decedent’s will is determined while someone, either friend or family, is designated as the estate executor. It is the job of the executor to manage the estate and distribute the assets within the estate according to the will of the testator. In case the deceased individual has not left behind any will, it will determine to whom and in what quantities the assets of the decedent need to be distributed. Probate Lawyers Advise on Assets  Probate is crucial only for the property that was: Solely named in the name of the decedent. For instance the car or

Read More »
How to secure documents heirs need during probate
Estate Planning

How to secure documents heirs need during probate

If a loved one had died recently, you might require probate. In case the decedent has not left a will, a grant of letters of administration might be required. The official document gives the near and dear ones of the deceased the ability to deal with the deceased’s estate. Individuals can apply for probate either directly or by using the services of a lawyer. Probate is the term commonly used when speaking of applying for the rights of dealing with the affairs of an individual who has died. Nevertheless, there are different terms used based on whether the decedent individual has left behind a will or not and the location where he or she resided. Understanding the Probate Procedure If

Read More »
Dying without a Will can complicate probate
Estate Planning

Dying without a Will can complicate probate

The estate executor or the personal representative is responsible for taking care of and distributing the estate a person died after leaving behind a will. It is the executor’s job to handle the will. They also distribute the assets among the beneficiaries or act according to the terms of the will. The person who writes the will is the testator. The testator appoints or names the person whom he or she wants to serve as the executor of their will. If the person passes away without writing a will or intestate? Or if their will does not have any reference to the executor? In such cases, it is the probate court that takes up the responsibility of appointing the executor.

Read More »